
Mom sees ‘hand’ cradling baby’s head in ultrasound image — ‘I broke into tears’
Kentucky woman with high-risk pregnancy shares deeply personal story and the ultrasound photo that’s sparking conversations online
Amanda Foster, a mother from Kentucky, says she spotted what looked like a hand holding her unborn baby’s head during a recent ultrasound—an image she calls a powerful sign during her complicated pregnancy.
Amanda Foster, 33, has experienced the full spectrum of motherhood—from heartbreak to hope. At 17, she lost her first son, Xavier, to Potter syndrome, a rare and often fatal condition affecting the kidneys and internal organs. That loss left her emotionally broken. “If God is going to take my son, He will take me too,” she wrote in a Facebook post, recalling the depth of her grief and the resentment that followed.
Doctors warned her it was unlikely she’d have a healthy baby boy, especially since Potter syndrome is more common in males. But over time, she and her husband Kyle welcomed two daughters and later, in August 2022, their first healthy son, Jay.
A new pregnancy and a new fear
Now pregnant again—with a boy they’ve named Kyler—Amanda was dealt another frightening diagnosis: Kyler had an aortic septum defect, a serious heart condition.
“I dropped to my knees to pray before every ultrasound,” she wrote. “I asked the Lord to keep his hand on my baby and to help me trust in whatever His plan may be.”
The image that changed everything
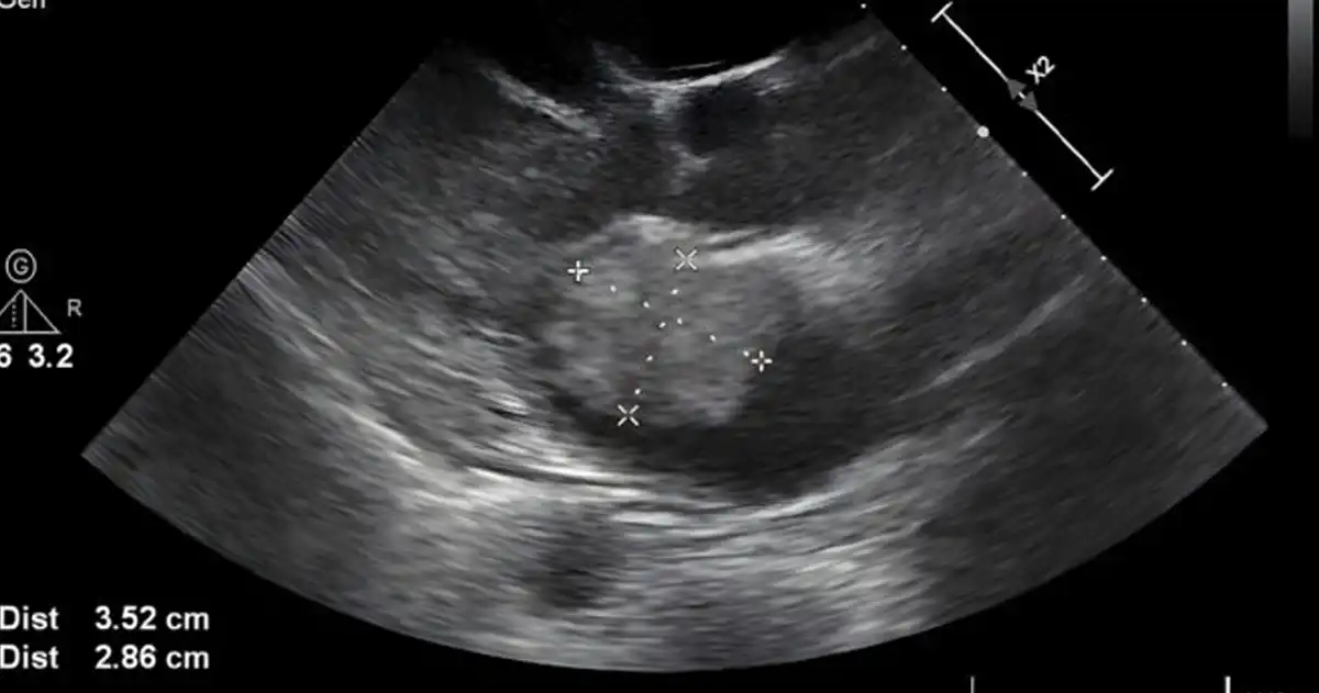
At a late-May ultrasound, Amanda brought her daughter Bailey along for support. That’s when Bailey noticed something strange in the image.
“She asked me whose hand that was,” Amanda recalled. The scan appeared to show a large hand cradling Kyler’s head. Amanda shared the image on Facebook, saying it brought her to tears: “It looks like a hand holding his head.”
Whether seen as a sign of divine protection or simply a comforting coincidence, the image deeply moved Amanda—and many others online.
Nearing the due date
Now at 36 weeks, Amanda says Kyler is strong and healthy. In a recent post, she wrote, “Our chunky boy is over 7 pounds. His heart rate is steady. His little face—I cannot wait to hold him.”
For Amanda, the ultrasound image is more than just a medical scan. It’s part of a much larger journey—one that’s been shaped by loss, faith, and a mother’s love.





